Estamos restaurando este artículo tras una actualización de nuestros servidores. El contenido completo estará disponible en breve. Puedes seguir leyendo el medio aquí. o registrarte aquí.
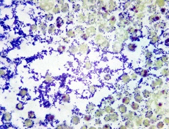
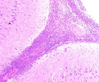
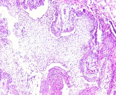
Streptococcus suis: claves diagnósticas desde la lesión hasta el laboratorio
Escrito por: Aline de Marco Viott - Universidade Federal do Paraná (UFPR) – setor Palotina, Brasil
, Amália Ferronato - Universidade Federal do Paraná (UFPR) – setor Palotina, Brasil
, Ângela Rocio Poveda Parra - Universidade Federal do Paraná (UFPR) – setor Palotina, Brasil
, Manoela Marchezan Piva - Universidade Federal do Rio Grande do Sul (UFRGS), Brasil

